В детском кардиологическом отделении Научно-исследовательского клинического института педиатрии и детской хирургии имени академика Ю.Е. Вельтищева впервые в России была проведена видеоассистированная левосторонняя торакоскопическая селективная симпатэктомия ребенку с рецидивирующей фибрилляцией желудочков и гипертрофической кардиомиопатией (ГКМП). Это стало шансом на жизнь для маленькой пациентки, у которой традиционные методы лечения оказались неэффективны против жизнеугрожающих аритмий.
Об этом в интервью Центру экспертной помощи "Дом Редких" рассказала заведующая детским кардиологическим отделением, заведующая научным отделом детской кардиологии и аритмологии, к.м.н. Ирина Михайловна Миклашевич, подчеркнув важность этого события для лечения сложных заболеваний сердечно-сосудистой системы у детей.
История 10-летней пациентки началась в 2021 году, когда внезапно во время прогулки с бабушкой и младшей сестрой девочка пожаловалась на резкую слабость (со слов бабушки: «я очень устала») и потеряла сознание. Произошла остановка дыхания и сердечной деятельности. К счастью, это случилось рядом с поликлиникой, где девочке оперативно провели сердечно-лёгочную реанимацию. Ребенок был экстренного госпитализирован в городскую больницу. Лечение и обследование было сложным, девочка находилась на ИВЛ в течение 8 суток. Тогда же впервые был выставлен диагноз — гипертрофическая кардиомиопатия. Оказалось, заболевание носит наследственный характер — им страдает и отец девочки.
Об этом в интервью Центру экспертной помощи "Дом Редких" рассказала заведующая детским кардиологическим отделением, заведующая научным отделом детской кардиологии и аритмологии, к.м.н. Ирина Михайловна Миклашевич, подчеркнув важность этого события для лечения сложных заболеваний сердечно-сосудистой системы у детей.
История 10-летней пациентки началась в 2021 году, когда внезапно во время прогулки с бабушкой и младшей сестрой девочка пожаловалась на резкую слабость (со слов бабушки: «я очень устала») и потеряла сознание. Произошла остановка дыхания и сердечной деятельности. К счастью, это случилось рядом с поликлиникой, где девочке оперативно провели сердечно-лёгочную реанимацию. Ребенок был экстренного госпитализирован в городскую больницу. Лечение и обследование было сложным, девочка находилась на ИВЛ в течение 8 суток. Тогда же впервые был выставлен диагноз — гипертрофическая кардиомиопатия. Оказалось, заболевание носит наследственный характер — им страдает и отец девочки.
«Большинство случаев кардиомиопатии у детей носит наследственный, генетически детерминированный характер. Чрезвычайно важно своевременно выявлять таких пациентов, чтобы как можно раньше начать терапию. Если кто-то из членов семьи страдает кардиомиопатией, важно своевременно обследовать всех ближайших родственников, включая детей. Постфактум родители вспоминали, что девочка в последнее время стала быстрее уставать, однако не придали этому большого значения. Клинические признаки ГКМП могут значительно варьировать от длительного бессимптомного течения до опасных для жизни осложнений, включая внезапную сердечную смерть (ВСС). Дети с таким диагнозом могут жаловаться на утомляемость, одышку при физической нагрузке, перебои в ритме сердца, боли в области сердца, обмороки. Своевременный поход к кардиологу с проведением электрокардиографии, эхокардиографии позволил бы поставить правильный диагноз и назначить лечение. Но у нашей девочки болезнь проявила себя самым грозным симптомом – ВСС, и диагноз был установлен после», - поясняет Ирина Михайловна.
Сердечно-сосудистые заболевания сохраняют свое лидерство среди ведущих причин смертности во всем мире. ВСС как необратимый исход и результат внезапной остановки сердца достигает 50% среди других исходов у представителей молодого возраста, что формирует высокую тяжесть ее социального бремени по сравнению с другими основными причинами смерти.
Гипертрофическая кардиомиопатия (ГКМП) —одна из основных причин внезапной сердечной смерти в детском возрасте - заболевание, при котором патогенные мутации в генах нарушают синтез сократительных белков кардиомиоцитов (клеток сердца), что приводит к структурным изменениям в кардиомиоцитах и мышечных волокнах миокарда, фиброзным изменениям, как следствие, к развитию аритмий и сердечной недостаточности. При обследовании выявляют локальное или распространенное утолщение стенок сердца с нарушением их сократимости и релаксации. Как правило, причина заболевания - мутации белков саркомеров, и такая мутация была в последующем выявлена у девочки и ее отца, но есть множество других причин для развития фенотипа этого заболевания.
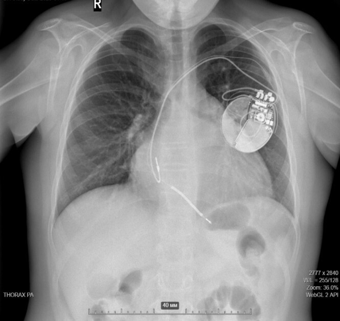
После успешного восстановления самостоятельного дыхания и сердечной деятельности, для того чтобы девочка вернулась к своей обычной жизни, необходимо было предотвратить повторные эпизоды жизнеугрожающих аритмий. Девочка была переведена в Институт Вельтищева, где была подобрана терапия b-блокатором и имплантирован кардиовертер-дефибриллятор — устройство, которое должно было в случае опасной аритмии нанести разряд и остановить жизнеугрожающую аритмию, восстановив нормальным ритм сердца. Период благополучия длился около полугода, когда на фоне активных игр ребенок вновь потерял сознание, сработал ИКД и девочка пришла в себя.
Гипертрофическая кардиомиопатия (ГКМП) —одна из основных причин внезапной сердечной смерти в детском возрасте - заболевание, при котором патогенные мутации в генах нарушают синтез сократительных белков кардиомиоцитов (клеток сердца), что приводит к структурным изменениям в кардиомиоцитах и мышечных волокнах миокарда, фиброзным изменениям, как следствие, к развитию аритмий и сердечной недостаточности. При обследовании выявляют локальное или распространенное утолщение стенок сердца с нарушением их сократимости и релаксации. Как правило, причина заболевания - мутации белков саркомеров, и такая мутация была в последующем выявлена у девочки и ее отца, но есть множество других причин для развития фенотипа этого заболевания.
После успешного восстановления самостоятельного дыхания и сердечной деятельности, для того чтобы девочка вернулась к своей обычной жизни, необходимо было предотвратить повторные эпизоды жизнеугрожающих аритмий. Девочка была переведена в Институт Вельтищева, где была подобрана терапия b-блокатором и имплантирован кардиовертер-дефибриллятор — устройство, которое должно было в случае опасной аритмии нанести разряд и остановить жизнеугрожающую аритмию, восстановив нормальным ритм сердца. Период благополучия длился около полугода, когда на фоне активных игр ребенок вновь потерял сознание, сработал ИКД и девочка пришла в себя.
Ребенок с имплантированным ИКД.
Разряд ИКД купирует пароксизм фибрилляции желудочков.
«Такие эпизоды мотивированных срабатываний повторялись несколько раз в год, всегда на фоне активных игр или физической нагрузки. Родителям было трудно контролировать или сдерживать активность ребенка, что требовало увеличение доз β-блокатора до максимальной и добавления антиаритмического препарата IV класса. Последний эпизод случился в мае 2025 года. ИКД успешно сработал, однако потребовалась сердечно-легочная реанимация. Следующий приступ мог стать фатальным», - рассказывает специалист.
Медикаментозные резервы были полностью исчерпаны и специалисты клиники, изучив мировой и отечественный опыт, проведя междисциплинарный консилиум, приняли решение о проведении процедуры видеоассистированной левосторонней торакоскопической селективнаой симпатэктомии для профилактики рецидивов стресс-индуцируемой фибрилляции желудочков у ребенка с ГКМП. Процедура выполнена опытной бригадой сердечно-сосудистых хирургов под руководством С.А. Термосесова.
«Этот метод – не новый и успешно применяется в последние годы в нашем центре для лечения стресс-индуцируемых аритмий без структурной патологии сердца. Но для больных со структурно измененным сердцем в нашей стране этот способ еще не применялся. В мировой медицинской литературе описано всего около двух десятков таких случаев применения данной процедуры при структурной патологии сердца, из них лишь в двух случаях — у детей с кардиомиопатиями. Результаты этих публикаций были очень оптимистичны», - объясняет Ирина Михайловна.
Суть операции заключается в торакоскопическом (через небольшие проколы) удалении симпатических нервных ганглиев с левой стороны. Эта процедура значительно снижает симпатические влияние на сердце. У девочки аритмии были стресс-индуцированными: любая физическая нагрузка или боль, несмотря на прием бета-блокаторов, приводила к учащенному сердцебиению. Симпатэктомия уменьшает симпатическую активность и контролирует тахиаритмию.
Зона операции. Место удаления симпатических ганглиев.
«В настоящее время после операции прошло уже несколько месяцев, и результат обнадеживает. Если раньше у пациентки были ежемесячные срабатывания дефибриллятора, то сейчас уже достаточно большой период, свободный от обмороков и срабатываний ИКД, что позволяет девочке жить обычной «детской» жизнью, не боясь подвигаться или поиграть», — отмечает кардиолог.
Кроме контроля над аритмией, у метода есть еще одно важное преимущество — в перспективе он может позволить снизить объем тяжелой медикаментозной терапии, что значительно улучшит качество жизни ребенка.
Успешное применение левосторонней симпатэктомии у ребенка с рецидивирующими эпизодами стресс-индуцируемой фибрилляции желудочков и гипертрофической кардиомиопатией открывает новые горизонты для использования этого метода в детской кардиологии.
Успешное применение левосторонней симпатэктомии у ребенка с рецидивирующими эпизодами стресс-индуцируемой фибрилляции желудочков и гипертрофической кардиомиопатией открывает новые горизонты для использования этого метода в детской кардиологии.
Врачи обращают внимание всех родителей: главное — своевременная диагностика. Первым симптомом, как в этой истории, может быть не просто обморок, а внезапная остановка сердца.
Если в семье есть человек с диагнозом «кардиомиопатия», необходимо обследовать всех ближайших родственников, включая детей.
Своевременное выявление заболевания и начало терапии могут предотвратить трагедию.
Для справки.
Кардиологическое отделение Института Вельтищева концентрирует самых сложных маленьких пациентов с патологией сердечно-сосудистой системы. Больше 70% пациентов относятся к орфанной патологии - это все формы лёгочной гипертензии и различные кардиомиопатии. В отделении ежегодно проходят лечение более 100 таких пациентов, что делает его одним из лидеров в данной области.